Dental Implants McKinney

Permanent Tooth Replacement Solutions at Prime Periodontics and Implants

At Prime Periodontics and Implants, we specialize in advanced dental implant solutions designed to restore your smile, function, and confidence whether you’re missing a single tooth, several teeth, or an entire arch. Our board-certified periodontists bring decades of experience in performing precise, long-lasting implant procedures using the latest surgical techniques and digital technology.

Unlike traditional dentures, dental implants in McKinney offer a permanent, natural-looking solution that mimics the function and appearance of real teeth while helping preserve jawbone health and facial structure.

Single-Tooth Implants

If you’re missing just one tooth, a single dental implant is the ideal solution. A titanium post is surgically placed into the jawbone to act as an artificial root. Once healed, a custom crown is attached, seamlessly blending with your natural teeth. This procedure restores both aesthetics and functionality while protecting surrounding teeth from shifting.

Illustration of a dental implant between two teeth

Multiple-Teeth Implants

When several teeth are missing, implant-supported bridges or multiple single implants may be recommended depending on your bone density and oral health. This fixed solution eliminates the need for removable partial dentures, offering greater stability, comfort, and long-term support for your jawbone and bite alignment.

Full-Arch Restorations

For patients who are missing most or all of their teeth, we offer full-arch implant solutions such as All-on-4 dental implants. This innovative technique uses four to six implants to support a full set of prosthetic teeth, delivering a secure, natural-looking smile in fewer visits and with faster recovery.

Unlike traditional dentures, dental implants offer a permanent, natural-looking solution that mimics the function and appearance of real teeth while helping preserve jawbone health and facial structure.

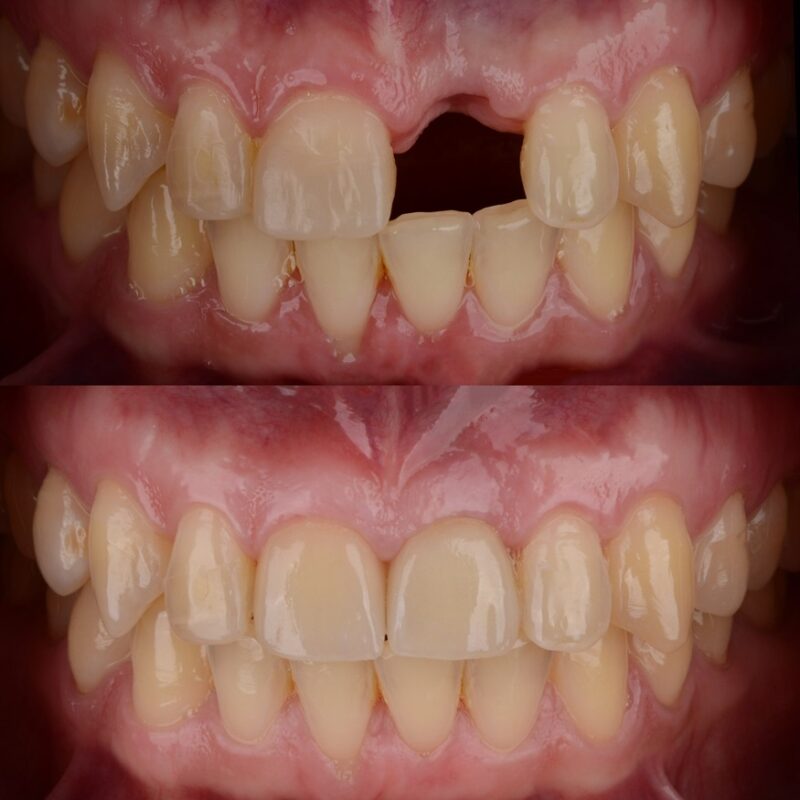
Mouth before and after replacing a missing upper tooth

Benefits of both single-tooth and multiple-teeth implants:

Whether you’re replacing one tooth or several, dental implants offer unmatched advantages over traditional restorations. Unlike bridges, implants don’t require filing down adjacent teeth preserving the natural structure of surrounding teeth. They also help prevent jawbone deterioration by stimulating bone tissue where teeth are missing.

Dental implants are incredibly stable, long-lasting, and designed to look and feel like your real teeth. Each custom crown or implant-supported bridge is carefully crafted for a seamless appearance. With proper brushing, flossing, and regular check-ups, implants require minimal maintenance and can provide a lifetime of function and confidence.

Full-Arch Restorations: Over-Denture vs. Fixed All-on-X

For patients who have lost all teeth in either the upper or lower jaw, or both, full-arch dental implants offer a transformative solution. This treatment can be performed with either implant-supported overdentures or fixed All-on-X bridges. Each option has its benefits, depending on the patient’s needs, preferences, and budget.

Implant-Supported Overdenture:

An implant-supported overdenture is a removable denture that snaps onto dental implants placed in the jaw. This option provides more stability and comfort compared to traditional removable dentures, which often slip or cause discomfort. Typically, two to four implants are used to anchor the overdenture securely in place.

Benefits of Overdentures:

Increased Stability: Unlike traditional dentures, overdentures don’t shift or slip, allowing for more confident chewing and speaking.
Preserves Bone Health: Implants stimulate the jawbone, preventing the bone loss that often occurs with traditional dentures.
Removable for Cleaning: Overdentures can be removed for easy cleaning and maintenance.
Cost-Effective: Overdentures typically require fewer implants compared to fixed options, making them a more budget-friendly choice.

Diagram of the parts of a dental implant

Fixed All-on-X (All-on-4 or All-on-6):

The All-on-X approach (commonly known as All-on-4 or All-on-6) is a fixed, non-removable full-arch restoration supported by dental implants. This treatment involves placing four to six implants in strategic locations in the jawbone, which then support a permanent bridge. The result is a full set of teeth that look, feel, and function like natural teeth.

Benefits of All-on-X:

Fixed, Non-Removable: The bridge is permanently secured to the implants, providing a more natural feel and no need for removal.
High Stability and Functionality: All-on-X provides a stable, durable, and functional solution, allowing patients to eat, speak, and smile confidently without worrying about dentures shifting or slipping.
Bone Preservation: Just like with single or multiple implants, the All-on-X method helps preserve the jawbone and prevent bone loss.
Aesthetically Pleasing: The fixed bridge is custom-designed to look like natural teeth, providing a beautiful, natural-looking smile.
Long-Term Durability:With proper care, the All-on-X solution can last many years, providing a reliable, permanent option for full-arch restoration.
Oral Hygiene and Maintenance: Like natural teeth, implants require routine dental exams, professional cleanings, and regular brushing and flossing to maintain their health and longevity.

Illustration of All-on-4

Which Dental Implant Option Is Right for You?

Choosing the right dental implant solution depends on your unique situation. Our specialists will conduct a thorough assessment of your oral health, including the condition of your jawbone and surrounding tissues, to help determine whether a single implant, multiple implants, or full-arch restoration is the best choice for you. Whether you’re missing one tooth or an entire arch, dental implants provide a superior solution that restores both function and aesthetics, helping you regain a beautiful, healthy smile.

To learn more about dental implant solutions or to schedule a consultation, contact our specialty dental office serving the DFW area today.