
Dental
How Much Do All-on-4 Dental Implants Cost in Texas?
If you’re considering All-on-4 dental implants in McKinney, Frisco, or anywhere in the Dallas-Fort Worth

If you’re considering All-on-4 dental implants in McKinney, Frisco, or anywhere in the Dallas-Fort Worth

Missing most or all of your teeth can impact your ability to eat, speak, and

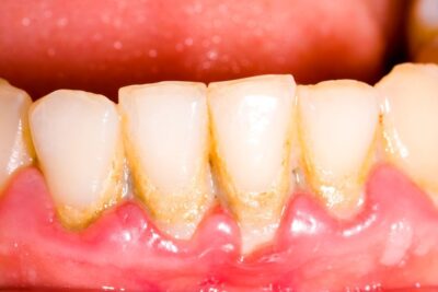
Gum disease—also known as periodontal disease—is one of the most common oral health conditions among

When it comes to replacing missing teeth, two of the most common options are dental
Share: