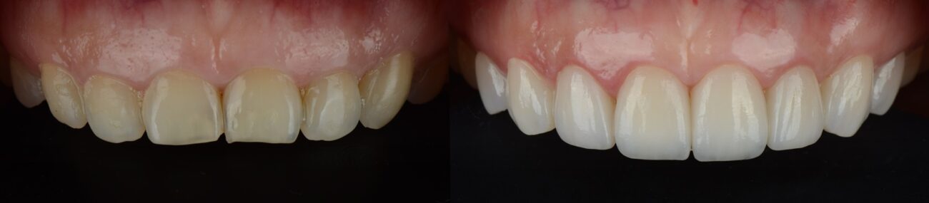
Esthetic crown lengthening is a periodontal procedure designed to improve the appearance of your smile by reshaping the gum tissue to expose more of your teeth. This procedure is often recommended for patients who have a “gummy smile,” where an excess of gum tissue covers too much of the teeth, making them appear shorter than they actually are. Our specialists at Prime Periodontics and Implants in McKinney can perform esthetic crown lengthening to create a more balanced, attractive smile by adjusting the gum line.
If your teeth appear too short or your smile seems overly “gummy,” esthetic crown lengthening can help. This procedure not only enhances the proportions of your teeth but also improves your overall facial harmony. It’s commonly performed for aesthetic reasons but may also be part of a more comprehensive treatment plan if you’re receiving cosmetic restorations like veneers or crowns.
During esthetic crown lengthening, our specialists will gently reshape the gum tissue and, in some cases, remove a small amount of bone around the teeth to expose more of their natural surface. The procedure is typically performed under local anesthesia to ensure comfort throughout.
Once the excess gum tissue is removed, the gum line is contoured to reveal more of your teeth and create a balanced, natural appearance. The entire process is usually completed in a single visit and can significantly enhance the aesthetics of your smile.
Improves the overall appearance of your smile by revealing more of your natural teeth Helps create a balanced gum-to-tooth ratio, enhancing facial aesthetics can be combined with other cosmetic treatments, like veneers or crowns, for a complete smile makeover Boosts confidence by creating a more attractive, natural smile If you’ve been self-conscious about the appearance of your smile or have been told you have a “gummy” smile, aesthetic crown lengthening can make a significant difference. Our specialists are committed to helping you achieve the beautiful, balanced smile you deserve.