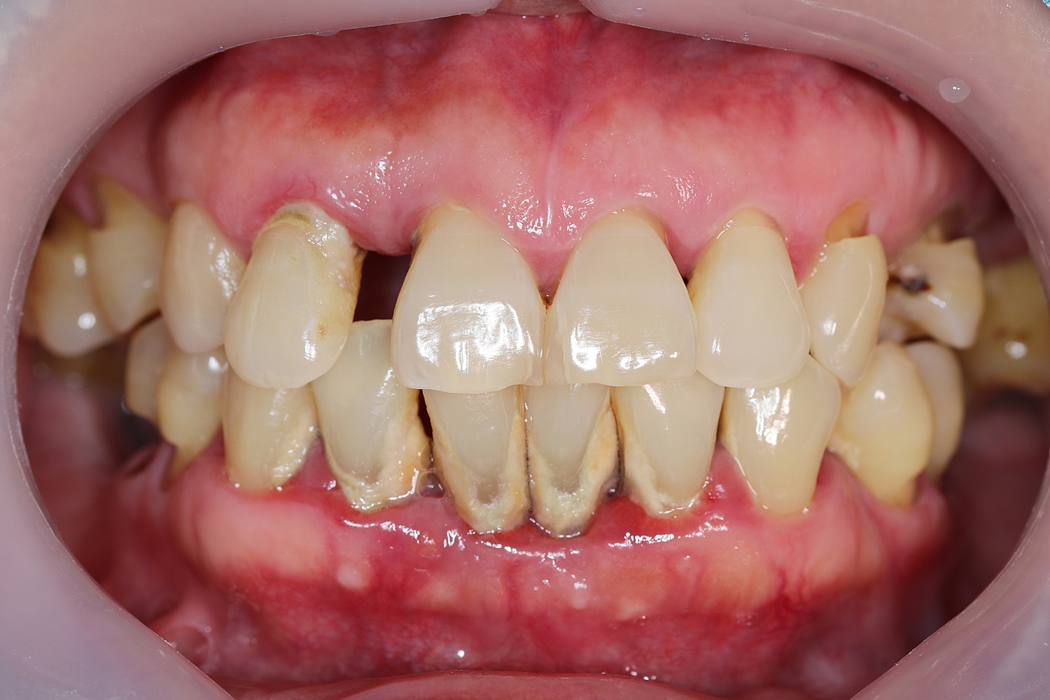
Surgical periodontal therapy is often necessary when advanced gum disease, or periodontitis, cannot be effectively managed through non-surgical treatments like scaling and root planing. Here at Prime Periodontics and Implants in McKinney, we use a variety of surgical periodontal techniques to address gum disease, repair damaged tissues, and create a healthier, more stable oral environment. These procedures aim to reduce gum pockets, eliminate bacteria, and restore both the function and aesthetics of your smile.
A gingivectomy is a procedure that removes diseased or excess gum tissue, which is often necessary when gum disease has caused significant damage or when the gums have overgrown due to medication or other factors. By removing the affected tissue,our specialists can eliminate bacteria-filled pockets that have developed between the gums and teeth. This procedure not only improves gum health but also creates a smoother, more contoured gum line, making it easier for you to maintain good oral hygiene at home.
Reshaping the Bone to Reduce Gum Pockets: In cases where gum disease has caused the underlying bone to become uneven, osseous resective surgery may be required. This procedure involves reshaping the bone to eliminate the deep pockets that can harbor bacteria and make it difficult to keep your teeth clean. Our specialists carefully smooth and contour the bone, which allows the gums to reattach more easily and reduces the depth of the pockets. This approach not only helps control the progression of gum disease but also improves the overall structure and stability of your teeth.
Rebuilding Lost Bone and Tissue with Guided Bone Regeneration
For patients who have experienced significant bone and tissue loss due to periodontal disease, regenerative surgery offers a way to rebuild what has been lost. One of the most common techniques is guided bone regeneration (GBR), which uses a special membrane to protect the area while bone and tissue regrow. This membrane ensures that fast-growing gum tissue doesn’t interfere with the slower process of bone regeneration.
In addition to GBR, our specialists may use growth factors and biologics to accelerate healing and encourage the regeneration of bone and gum tissue. These advanced treatments harness the body’s natural healing processes, promoting the formation of healthy, stable tissue around the affected area.
Growth factors and biologics are cutting-edge tools that help enhance the body’s ability to heal and regenerate tissue. During regenerative surgery, our specialists may apply growth factors to the affected area to stimulate the growth of new cells. These proteins encourage the body to rebuild bone and soft tissue, improving the chances of a successful outcome and speeding up the recovery process.
Whether you need a gingivectomy, osseous resective surgery, or regenerative procedures like guided bone regeneration, our specialists are committed to providing personalized, comprehensive care to restore your oral health and help you maintain a healthy, beautiful smile.
If you have advanced gum disease or are experiencing gum-related concerns, contact our periodontal office serving the DFW area to learn more about surgical periodontal therapy and how it can improve your oral health.